
Tedaviler
DiÅŸ saÄŸlığınızı önemsiyor ve size en iyi hizmeti sunmak için çalışıyoruz.
SaÄŸlıklı bir gülümseme için bugün randevunuzu alın!
Dolgu
Kompozit dolgu, diÅŸ hekimliÄŸinde yaygın olarak kullanılan bir restoratif tedavi yöntemidir. DiÅŸlerin çürüklerini onarmak, ÅŸekillerini düzeltmek veya kırık diÅŸleri tamir etmek için kullanılır. Kompozit dolgu, doÄŸal diÅŸ rengine uyumlu bir reçine malzemesinden oluÅŸur. Bu sayede, diÅŸlerinizi onarırken estetik bir görünüm elde edebilirsiniz.
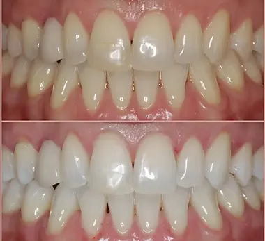
DiÅŸ Beyazlatma
DiÅŸ Beyazlatma, diÅŸlerin yüzeyindeki mine yapısında oluÅŸan renkli organik ve inorganik maddelerin diÅŸ beyazlatma jelleri ile giderildiÄŸi kozmetik bir çözümdür. Beyazlatma iÅŸlemi özel olarak hazırlanmış bir jelin diÅŸler üzerine sürülmesi, bir ışık kaynağı veya lazer ile reaksiyonun hızlandırılması ÅŸeklinde olur. Beyazlatma iÅŸleminin mekanizması bir oksidasyon-redüksiyon tepkimesi ÅŸeklindedir. Kullanılan maddeler oksijen açığa çıkarır. DiÅŸlerde renkleÅŸmeye neden olan maddeler renksiz substanslar ile yer deÄŸiÅŸtirir ve beyazlama meydana gelir.
Diş İmplantı
DiÅŸ implantı, eksik diÅŸ bölgelerine yerleÅŸtirilen ve üzerine sabit ya da hareketli protez yapılmasına imkan saÄŸlayan yapay diÅŸ köküdür. İmplant seçiminde uzun yıllardır uygulanan ve uzun dönem klinik takipleri yapılmış markalar tercih edilmelidir. Markanın ürün alternatifinin fazla olması, herhangi bir sorunla karşılaşıldığında etkin ve hızlı çözümler sunabilmesi de önemlidir.
DiÅŸ Çekimi
DiÅŸ çekimi herhangi bir problem olduÄŸunda ve diÅŸin kurtarılması pek mümkün görünmediÄŸinde tercih edilen bir çözümdür. DiÅŸ hekimleri için diÅŸ çekiminin son çare olarak tercih edildiÄŸini söyleyebiliriz. DiÅŸin kurtarılmasının mümkün olmadığı durumlarda çevre dokulara zarar vermeden diÅŸin ağız içerisinden tahliye edilmesi diÅŸ çekimi olarak adlandırılır. Bu iÅŸlemde diÅŸ, kemikte yer alan ve soket olarak adlandırılan yuvasından tıbbi aletler yardımı ile çıkarılır. DiÅŸ çekiminin ne kadar sürdüÄŸü, acı verip vermediÄŸi gibi konuya dair merak edilen tüm hususlara deÄŸineceÄŸiz. Öncesinde bu iÅŸlemin nasıl yapıldığını daha detaylı bir ÅŸekilde ele alalım.
Diş Taşı Temizliği
DiÅŸlerinize iyi bakıyor musunuz? Bu sorunun cevabı “evet” olsa bile diÅŸlerinizde plak oluÅŸumu gözlenir. DiÅŸ yüzeylerinde ve diÅŸ eti çizgisi boyunca yapışkan ve ÅŸeffaf bir tabaka oluÅŸur. Bu oluÅŸumlara plak adı verilir. Bu plaklarda yaÅŸayan bakteriler diÅŸin minesine ve diÅŸ etlerine zarar verebilir. Plaklar, iyi bir bakımın olmadığı ağızlarda tartar dediÄŸimiz diÅŸ taşı oluÅŸumuna neden olur. DiÅŸ taşı, bakterilerin ve tükürükteki minerallerin sertleÅŸmesi sonucu oluÅŸur. Plaklar ve diÅŸ taÅŸları diÅŸ eti iltihabı gibi hastalıklara neden olur. Bu nedenle diÅŸ taşı temizliÄŸi önemlidir. Peki diÅŸ taşı temizliÄŸi nedir? Öncelikle bu soruyu cevaplayalım.
Zirkonyum DiÅŸ
Günümüzde diÅŸ estetik farkındalığı oldukça geliÅŸmiÅŸtir ve özellikle gülümseme tasarımları ile toplumda diÅŸlerinin daha güzel olması yönünde talep artmıştır. Dijital devrimin yaÅŸandığı günümüzde diÅŸ hekimliÄŸi uygulamaları da bundan nasibini alarak dijital teknolojilerin kullanımını arttırmıştır. Bunun bir sonucu olarak dijital ölçüler, dijital modeller veya modelsiz tasarımlar ile bilgisayar destekli tasarımlar günlük dental uygulamalarda rutin uygulama haline gelmiÅŸtir. Tam diÅŸ kaplaması veya köprülerin gerektiÄŸi durumlarda zirkonyum restorasyonlar farklı estetik ve sertlik sınıfları ile dijital iÅŸ akışlarında tercih edilir. DiÅŸ estetiÄŸi ile ilgili son yıllarda geliÅŸtirilen farklı uygulamalardan biri olan zirkonyum diÅŸtir. Peki zirkonyum diÅŸ nedir? Zirkonyum diÅŸ modelleri nedir? Zirkonyum ile ilgili merak edilenler.
Gömülü Yirmi YaÅŸ DiÅŸ Çekimi
Gömülü yirmilik diÅŸler ağızda çıkabilecekleri veya normal geliÅŸebilecek yeterli yeri olmayan üçüncü azı diÅŸleridir. Yirmilik diÅŸler ağızda oluÅŸumu tamamlayan son yetiÅŸkin diÅŸleridir. ÇoÄŸu insanda aÄŸzın arka kısmında iki adet üst ve iki adet altta olmak üzere dört yirmilik diÅŸ vardır.
GülüÅŸ EstetiÄŸi
Herkes saÄŸlıklı ve güzel bir gülüÅŸe sahip olmak ister. Karşımızdaki insanlarla ilk izlenimde diÅŸlerimiz önemli bir rol oynuyor. DiÄŸer bir yandan deÄŸiÅŸen ve dijitalleÅŸen dünyamızda artık pek çoÄŸumuz ekranlardayız. Yüzümüzü daha yakından çektiÄŸimiz videoları, selfieleri paylaşıyoruz. Yüzümüzün en önemli aksesuarı ise gülüÅŸümüz. GüldüÄŸümüzde ortaya çıkan mükemmel diÅŸler daha saÄŸlıklı ve etkileyici görünmemizi saÄŸlıyor.
Estetik Ön DiÅŸ Dolgusu
Ön diÅŸ dolgusu, ön bölgedeki diÅŸlerde oluÅŸan çürük, kırık, çatlak gibi sorunların doÄŸal bir görünüm kazandıracak ÅŸekilde onarılmasını saÄŸlar. Onarılan diÅŸlerin diÄŸer diÅŸlerle uyumlu olması dolgunun fark edilmemesine yardımcı olur. Bu sayede hasta güzel bir gülümsemeye sahip olabilir. Bu ön diÅŸ dolgusu kompozit dolgu olarak da adlandırılabilir. Ön diÅŸ dolgusu kompozit reçine kullanılarak yapılır. İlk adımda çürük temizlendikten sonra kompozit malzeme özel yapıştırıcılarla diÅŸe yapıştırılır ve ÅŸekil verilerek gerçek diÅŸten farksız olması saÄŸlanır.
İskelet Protezler
Çok sayıda diÅŸini kaybetmiÅŸ ve özellikle çekilen diÅŸlerin arkasında diÅŸ olmayan hastalarda klasik manada sabit protez yapmak mümkün olmaz, bu hastalara implant destekli sabit protez veya kalan diÅŸlerden destek alınarak iskelet protez yapılabilir. İskelet protezler hareketli protezlerdir. Hasta tarafından yemek sonralarında çıkartılıp temizlenmeli yine ayı ÅŸekilde gece uyumadan önce çıkarılıp temizlenmelidir.
Panoramik ve Periapikal Röntgen
İlerleyen teknoloji ile görüntüleme teknikleri ilerlediÄŸi gibi diÅŸ görüntüleme seçenekleri de artmıştır. Bu ilerleyen teknoloji ile diÅŸteki sorunları görmek tedaviyi daha kolaylaÅŸtıracak, daha iyi sonuçlar alınmasını saÄŸlayacaktır. Film ile diÅŸ ve çenedeki patolojik görünüm elde edilir. Röntgen ile alt ve üst çenelerdeki oluÅŸumlar ve en küçük detaylar rahatlıkla görülebilir. Tedavi yolunun belirlenmesi için ilk muayeneden sırasında çekilmesi önerilir.
Pedodonti (Çoçuk DiÅŸ HekimliÄŸi)
Pedodonti (Çocuk DiÅŸ HekimliÄŸi), 0-13 yaÅŸ grubu çocukların süt ve daimi diÅŸlerinin saÄŸlıklı olarak korunmasını, çürük, travma, kalıtımsal ve benzeri etkenlerin bu diÅŸlerde oluÅŸturduÄŸu sorunların giderilmesini amaçlayan bir anabilim dalıdır. Pedodonti, bebeklik çağından itibaren çocukların ağız-diÅŸ saÄŸlığını ve çene-yüz bölgesi geliÅŸimini takip ve tedavi eden, aynı zamanda koruyucu önlemleri de içine alan diÅŸ hekimliÄŸi dalıdır. Pedodontistler bu dönemde bebek, çocuk ve gençlerin ağız diÅŸ saÄŸlığı gereksinimlerine göre önleyici ve tedavi edici her türlü tedavi ve koruyucu uygulamaları gerçekleÅŸtirmektedirler.
Sabit Protezler
Protez, bir organ ya da parçasının eksikliÄŸinin yapay olarak onarılması ve iÅŸlevinin iyileÅŸtirilmesi iÅŸlemidir. DiÅŸ hekimliÄŸinde diÅŸ protezi, eksik diÅŸlerin ve diÅŸ etlerinin atrofik kısımlarının deÄŸiÅŸtirilmesini saÄŸlayan ve kiÅŸiye özel olarak uygulanan bir prosedürdür. DiÅŸ protezlerinin sabit ve hareketli protezler olmak üzere iki ana türü vardır.
Åžeffaf Plak Tedavisi
Her hasta için özel olarak yapılan ÅŸeffaf plaklar, diÅŸ diziliminde çapraşıklık olan, kiÅŸiyi rahatsız eden ÅŸekil bozukluklarında diÅŸlerin pozisyonunu düzeltmek için uygulanan ortodontik tedavi yöntemlerindendir. Åžeffaf plaklar (telsiz ortodonti) kullanım kolaylıkları nedeniyle günümüzde yaygın olarak tercih edilmektedir. Neredeyse baÅŸkaları tarafından fark edilemeyecek biçimde estetik görünen ÅŸeffaf plak tedavisinde, metal teller ve braketler kullanılmamaktadır. Hastalar ÅŸeffaf plaklarını yemek yerken, diÅŸlerini fırçalarken çıkarabilmektedir. Bu nedenle herhangi bir rahatsızlık yaÅŸanmamaktadır.
















